【悲報】Mr.都市伝説の関暁夫、体内にマイクロチップを2枚入れていることを暴露され怒る
1:風吹けば名無し:2020/05/12(火) 13:59:44
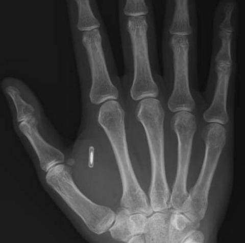
スタッフ「関さんもう一枚マイクロチップ入れてましたよね?」
関暁夫「…」
スタッフ「関さん?」
関暁夫「あのさぁ…」(怒りのあまり震え出す)
スタッフ「…?」
マツコ「…?」
ジュニア「どないしてん関」
関暁夫「もう…これはさぁ…絶対言っちゃいけないことだぞ…?」
スタッフ「…」
ジュニア「なんでなんで?なんでそんな怒ってんのよ」
関暁夫「なめやがって…!」
(ジュニア、場を和らげるために笑う)
2:風吹けば名無し:2020/05/12(火) 13:59:55
緊張感すごい
3:風吹けば名無し:2020/05/12(火) 14:00:01
草
続きを読む
Source: ラビット速報
